Case Studies

Case Studies

Case study on
Dry Eczema

Dry eczema, or atopic dermatitis, is a prevalent skin condition marked by dry, itchy, and inflamed areas of skin. It is frequently associated with a genetic predisposition to allergies and can be triggered by environmental factors such as dry weather, irritants, and certain foods. Treatment usually includes moisturizing lotions to relieve dryness

Case Studies

Case Study on Hypothyroidism

Hypothyroidism is a condition where the thyroid gland does not produce enough thyroid hormones to meet the body’s needs. The thyroid hormone is crucial for regulating metabolism, energy levels, and other bodily functions. Common symptoms of hypothyroidism include fatigue, weight gain, constipation, dry skin, hair loss, sensitivity to cold, muscle weakness

Case Studies

Case Study on osteoarthritis

Knee osteoarthritis, often termed as degenerative joint disease, is a chronic condition characterized by the deterioration of the joint’s articular cartilage, the smooth covering that cushions the ends of bones. This wear and tear can cause the bones to rub against each other, leading to inflammation, pain, and stiffness in the joint.

Case Studies

Case Study on Allergic Rhinitis

Hay fever, also known as allergic rhinitis, results in symptoms similar to those of a cold. Symptoms can include runny nose, itchy eyes, nasal congestion, sneezing, sinus pressure. Unlike a cold, which is caused by a virus, hay fever is triggered by an allergic reaction to substances the body mistakenly identifies as harmful, known as allergens. Several allergens can trigger hay fever symptoms, including pollen from trees, grasses, and weeds, dust mites, pet dander and many more. Recognizing these triggers can be key in managing and alleviating symptoms effectively.

Case Studies

Case study on Natural Conception

Conception: The process of fertilization of sperm and egg which leads to pregnancy is conception. This process is actually a natural procedure of becoming pregnant for the woman. If a couple are unable to conceive naturally, they need assisted methods. Modern medicine offers IUI, IVF methods where as Ayurveda corrects the imbalance in the body, helps natural restoration and enables conception.

Case Studies

Case study on Migraine

Migraine is a common neurological condition that can impact quality of life. They are characterized by a pulsatile or throbbing pain on one side of the head and can be triggered by various factors, such as stress, hormonal changes, certain foods, and environmental factors. Migraines can also cause other symptoms, such as nausea, sensitivity to light and sound, and visual disturbances such as seeing flashing lights or zigzag lines. The pain and discomfort associated with migraines can last for hours or even days, making it difficult to perform daily activities and affecting your overall well-being.

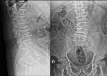
Case Studies

Case study on Herniated Disc

A herniated disc refers to a disc bulge at any of the spinal vertebrae. The vertebral disc in the spine has a unique structure and supports the cartilaginous joint. Usually, the spinal disc has a soft and jelly-like centre called the nucleus. This nucleus is present in a rubber-like structure called an annulus. A herniated disc occurs when the nucleus is pushed out to the annulus through the tear. It is also called a slipped disc or ruptured disc.